Gingival Recession: What It Means

O.Artsplacecanmore 92 views
Gingival Recession: What It Means

Understanding Gingival Recession: What It Really Means

Hey guys! Ever noticed your gums pulling back, making your teeth look longer than usual? That, my friends, is what we call gingival recession , and it’s a pretty common dental issue. But what exactly does it mean ? Simply put, gingival recession means your gum tissue has worn away or pulled back from the surface of your teeth . This exposes more of your tooth’s root, which isn’t covered by enamel like the crown is. Think of your gums as a protective shield for your teeth’s sensitive roots. When that shield starts to shrink, it leaves those roots vulnerable. It’s not just about aesthetics, though it can definitely impact how you feel about your smile. The real concern is the potential for increased tooth sensitivity, root decay, and even tooth loss if left unaddressed. So, while the term “gingival recession” might sound a bit technical, the core meaning is straightforward: your gums are receding, and that’s not ideal for your oral health . We’re going to dive deep into why this happens, what the signs are, and most importantly, what you can do about it. Stick around, because understanding gingival recession is the first step to keeping your smile healthy and strong!

Why Do Gums Recede? Unpacking the Causes of Gingival Recession

Alright, so we know gingival recession means your gums are pulling back , but why does this happen in the first place? It’s not like your gums just decide to pack up and leave one day! There are several culprits, and often, it’s a combination of factors. The most common reason, and something you might be doing without even realizing it, is aggressive or improper tooth brushing . Yeah, I know, we’re all told to brush our teeth, but brushing too hard, using a toothbrush with stiff bristles, or using a sawing motion instead of gentle circles can actually wear down your gum tissue over time. It’s like scrubbing a delicate surface too vigorously – eventually, it’s going to show damage. Another big player is periodontal (gum) disease . This is an infection of the gums caused by bacteria. If left untreated, it can destroy the gum tissue and the bone supporting your teeth, leading directly to recession. So, if you’ve got any signs of gum disease like bleeding gums, redness, or swelling, you need to get that checked out ASAP because it’s a major driver of gum recession. Genetics also play a surprisingly large role. Some people are simply predisposed to having thinner gum tissue or gums that are more susceptible to recession, even with excellent oral hygiene. It’s just how they’re built, unfortunately. Misaligned teeth or a bad bite can also put extra pressure on certain areas of your gums, leading to recession. Similarly, things like grinding or clenching your teeth (bruxism) can exert significant force that wears down the gum line. Even things like lip or tongue piercings can cause chronic irritation and friction, leading to gum recession in that specific spot. And let’s not forget tobacco use . Smoking or chewing tobacco can significantly damage gum tissue and increase your risk of gum disease, both of which contribute to recession. So, as you can see, gingival recession means your gums are receding due to a variety of factors , ranging from your brushing habits to underlying dental conditions and lifestyle choices. Understanding these causes is crucial because it helps us pinpoint the right solutions.

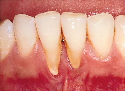
Spotting Gingival Recession: Signs and Symptoms You Shouldn’t Ignore

Okay, so we’ve established that gingival recession means your gums are shrinking away from your teeth . But how do you actually know if you have it? Sometimes it’s subtle, and other times it’s quite noticeable. The most obvious sign is teeth that appear longer than they used to . This happens because the gum line has shifted downwards, revealing more of the tooth’s root. You might also notice a ** > , or a notch, near the gum line of a tooth**. This is where the gum tissue has worn away. Another common symptom is tooth sensitivity . Because the root surface is exposed, and it’s not protected by enamel, it can become very sensitive to hot, cold, sweet, or even just acidic foods and drinks. That sharp twinge you feel? That could be a sign of exposed roots due to recession. You might also experience bleeding or sore gums , although this is often linked to underlying gum disease, which, as we discussed, is a major cause of recession. In more severe cases, you might even notice a ** > , or a gap, between your teeth where the gum tissue used to be**. The teeth might also feel looser than normal, which is a more advanced symptom indicating bone loss associated with severe gum recession. Sometimes, people notice a change in the color of their teeth – the exposed root surface is often yellower than the enamel of the crown. So, if your teeth are looking longer, you feel sensitivity, or you notice any notches or gaps, it’s time to pay attention. Gingival recession means your gums are receding , and these symptoms are your body’s way of telling you something’s up. Don’t brush these signs off, guys. Early detection is key to preventing further damage and finding the right treatment. If you suspect you have gingival recession, the best thing to do is schedule a visit with your dentist or dental hygienist. They can properly diagnose the issue, determine the cause, and discuss the best course of action for your specific situation. Ignoring it won’t make it go away, and catching it early can save you a lot of trouble down the line.

Treatment and Prevention: Managing Gingival Recession Effectively

So, we’ve talked about what gingival recession means – essentially, your gums are receding – and we’ve covered the potential causes and symptoms. Now, let’s get to the good stuff: what can you do about it? The good news is that there are ways to manage and even treat gingival recession, but the approach really depends on the severity and the underlying cause. First off, if aggressive brushing is the culprit, the fix is often pretty straightforward: change your brushing technique and tools . Switch to a soft-bristled toothbrush, use gentle, circular motions, and don’t scrub like you’re cleaning a floor! Your dentist might recommend a specific technique or even an electric toothbrush with a pressure sensor to help you out. If gum disease is the cause, then tackling that infection is priority number one. This usually involves professional deep cleaning (scaling and root planing) to remove plaque and tartar buildup below the gum line, followed by diligent daily oral hygiene to keep it at bay. For more severe cases where significant gum tissue has been lost and the roots are heavily exposed, surgical procedures might be necessary. The most common surgical treatment is a gum graft . In this procedure, a small piece of tissue is taken from another part of your mouth (like the roof of your mouth) and attached to the receded area. This helps to cover the exposed root, protect it, and improve the appearance. Another option, especially if there’s also bone loss, is regenerative procedures that aim to restore lost bone and tissue. Now, let’s talk about prevention , because honestly, that’s always the best medicine, right? Maintain excellent oral hygiene , but do it gently. Brush twice a day with fluoride toothpaste and floss daily. See your dentist regularly for check-ups and cleanings – usually every six months. They can spot early signs of recession or gum disease and intervene before things get serious. If you grind your teeth, talk to your dentist about getting a night guard to protect your teeth and gums from excessive wear. And if you use tobacco products, quitting is one of the best things you can do for your overall oral health, including preventing gum recession. So, to recap, gingival recession means your gums are receding , but it doesn’t have to be a permanent problem. By understanding the causes, recognizing the signs, and working with your dental professional, you can effectively manage and prevent it, keeping your smile healthy and beautiful for years to come. Don’t let gum recession get you down – there are solutions out there, guys!